I級叢生症例

HOME | 症例Report | I級叢生症例
症例提供クリニック:表参道高柳矯正歯科
担当医:高柳譲司 先生
 

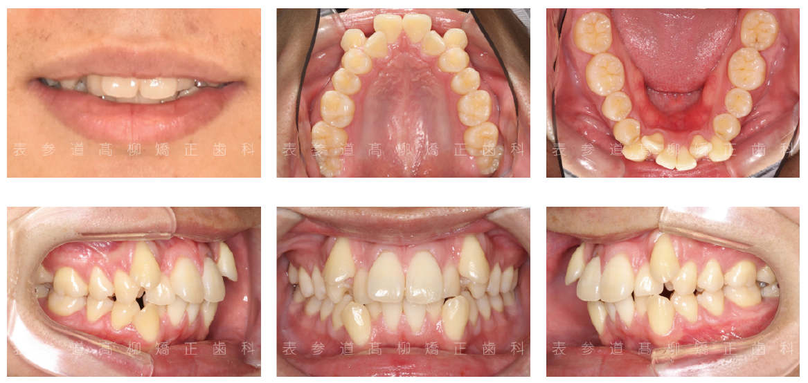
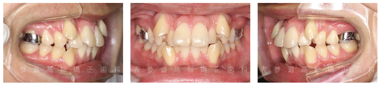
初診

 

主訴

八重歯が気になる

 

治療におけるポイント

上顎は約20mmの著しい叢生(凸凹歯並び)が認められ、両側小臼歯抜歯だけでなく上顎臼歯の後方移動も行った。

 

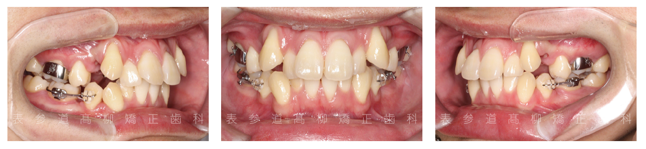
治療

上顎両側第一小臼歯、下顎両側第二小臼歯の抜歯を行った。
上顎臼歯部後方牽引用に歯科矯正用アンカースクリューを併用
上下歯列の緊密な咬合関係の確立に顎間ゴムを併用(装着時間20時間以上/日)
最終ステージでマウスピース型矯正装置を約5か月間使用(装着時間20時間以上/日)

 

治療に用いた主な装置

リンガルブラケット装置・歯科矯正用アンカースクリュー

 

治療費

1,485,000円+マウスピース型矯正装置料165,000円(税込)
詳細:矯正装置・調整料・リテーナー・歯科矯正用アンカースクリュー・矯正治療後2年間の経過観察料を含む

 

治療経過

治療開始

6か月後

9か月後

23か月後

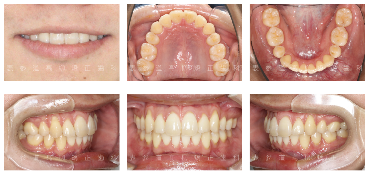
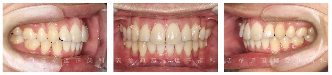
治療終了

治療期間:舌側矯正1年11ヶ月+マウスピース型矯正3ヶ月

 
*本記事は一症例の報告です。治療の結果を保証するものではありません。
*矯正治療にはリスクや副作用があります。詳しくはこちら(リンク先作成中)をご覧ください